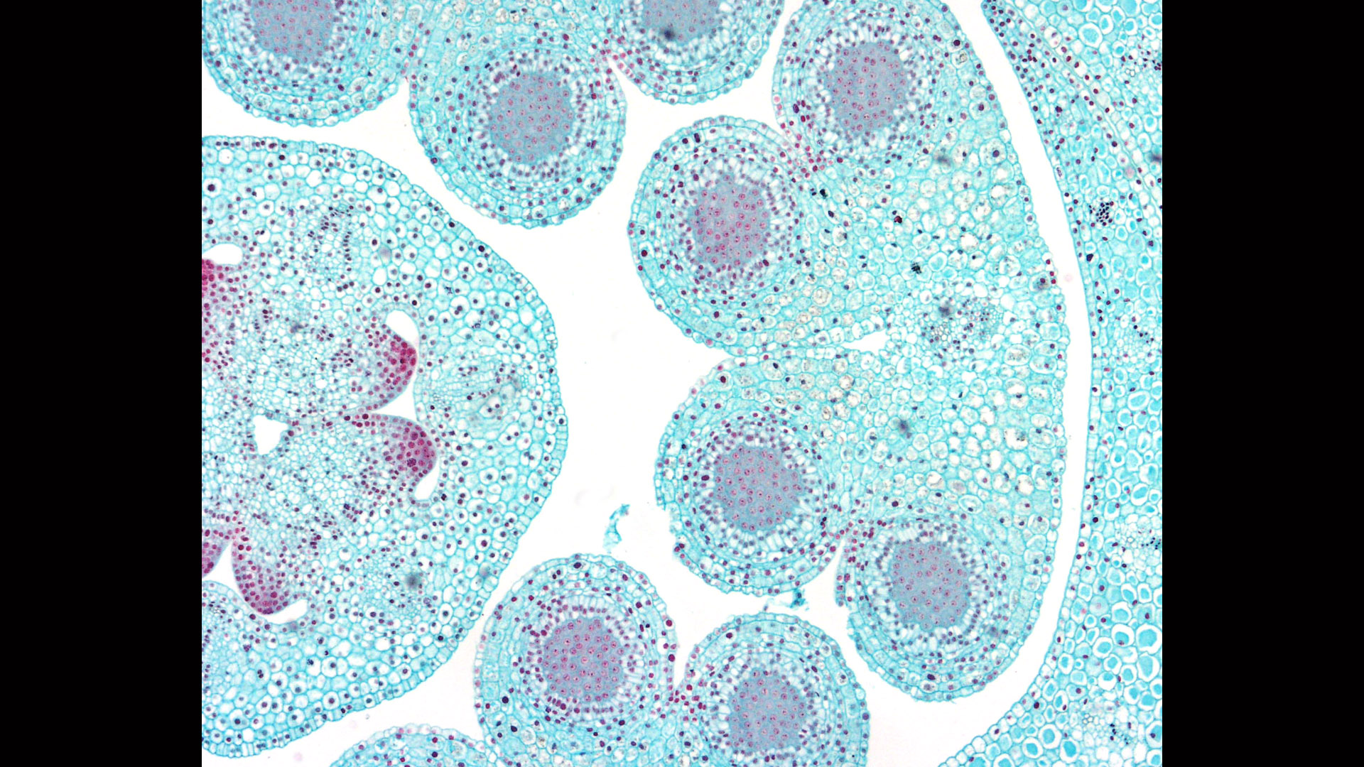
Image: Lily Bud